
โปรโมชั่นฟอกฟันขาว เพียง 2,900 บาท ที่คลินิกทันตกรรมมายเดนท์
อยากมีรอยยิ้มที่ดูสดใสขึ้นอย่างเป็นธรรมชาติ การ ฟอกฟันขาว เป็นหนึ่งในวิธีดูแลรอยยิ้มที่ได้รับความนิยม เพราะช่วยลดคราบเหลือง คราบชา กาแฟ หรือคราบบุหรี่ได้อย่างเห็นผล คลินิกทันตกรรมมายเดนท์จัด โปรโมชั่นฟอกฟันขาว ราคาเพียง 2,900 บาท ให้คุณสามารถดูแลรอยยิ้มได้ง่ายขึ้น โดยให้บริการภายใต้การดูแลของทันตแพทย์ พร้อมใช้น้ำยาฟอกสีฟันที่มีคุณภาพและปลอดภัยต่อผิวฟัน เหมาะสำหรับผู้ที่ต้องการฟื้นฟูสีฟันให้ดูสะอาด สดใส และเพิ่มความมั่นใจในชีวิตประจำวัน
จุดเด่นของบริการฟอกฟันขาวที่ MyDent Clinic
การฟอกฟันขาวควรทำโดยผู้เชี่ยวชาญ เพื่อให้ได้ผลลัพธ์ที่ดีและปลอดภัยต่อฟัน คลินิกทันตกรรมมายเดนท์จึงให้ความสำคัญกับมาตรฐานการรักษาและคุณภาพของวัสดุที่ใช้
ดูแลโดยทันตแพทย์
ทุกขั้นตอนของการฟอกฟันขาวดำเนินการโดยทันตแพทย์ เพื่อประเมินสภาพฟันและเลือกวิธีที่เหมาะสมกับผู้รับบริการแต่ละคน
ใช้น้ำยาฟอกสีฟันคุณภาพสูง
คลินิกเลือกใช้น้ำยาฟอกสีฟันที่ผ่านมาตรฐาน เพื่อช่วยให้สีฟันดูขาวขึ้นอย่างเป็นธรรมชาติ
ปลอดภัยต่อผิวฟัน
ขั้นตอนการทำจะมีการปกป้องเหงือกและเนื้อเยื่อรอบฟัน เพื่อลดโอกาสเกิดการระคายเคือง
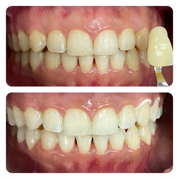
เห็นการเปลี่ยนแปลงของสีฟันได้
หลังทำหลายคนสามารถสังเกตเห็นความแตกต่างของสีฟันได้ ทำให้รอยยิ้มดูสดใสมากขึ้น
ฟอกฟันขาวเหมาะกับใคร
การฟอกฟันขาวเหมาะกับผู้ที่ต้องการปรับสีฟันให้ดูสะอาดและสว่างขึ้น โดยเฉพาะในกรณีต่อไปนี้
- ผู้ที่มีคราบสีฟันจากชา กาแฟ หรือบุหรี่
- ผู้ที่ต้องการเตรียมตัวก่อนออกงานสำคัญ เช่น งานแต่งงาน หรือการถ่ายภาพ
- ผู้ที่ต้องการเพิ่มความมั่นใจในรอยยิ้ม
- ผู้ที่ไม่เคยฟอกฟันขาวมาก่อน และอยากเริ่มต้นด้วยราคาเข้าถึงได้
หากมีปัญหาฟันหรือเหงือกบางประเภท ทันตแพทย์จะช่วยประเมินก่อน เพื่อให้การฟอกฟันขาวเหมาะสมกับสภาพช่องปากของคุณ
ฟอกฟันขาว ราคาโปรโมชั่น 2,900 บาท
คลินิกทันตกรรมมายเดนท์มี โปรโมชั่นฟอกฟันขาว ราคา 2,900 บาท สำหรับผู้ที่ต้องการดูแลรอยยิ้มโดยไม่ต้องใช้งบประมาณสูง โปรโมชั่นนี้ช่วยให้ผู้ที่สนใจสามารถทดลองฟอกฟันขาวกับคลินิกทันตกรรมได้ง่ายขึ้น พร้อมการดูแลตามมาตรฐานคลินิกทันตกรรม
ทำไมควรเลือกฟอกฟันขาวกับคลินิกทันตกรรม
แม้ว่าปัจจุบันจะมีผลิตภัณฑ์ฟอกสีฟันหลายรูปแบบ แต่การฟอกฟันขาวกับคลินิกทันตกรรมยังคงเป็นวิธีที่ได้รับความนิยม เนื่องจาก
- มีการประเมินสภาพฟันก่อนทำ
- ใช้วัสดุที่ได้มาตรฐาน
- มีทันตแพทย์ดูแลระหว่างทำ
- ลดความเสี่ยงต่อการระคายเคืองเหงือก
การดูแลโดยผู้เชี่ยวชาญจึงช่วยให้การฟอกฟันขาวมีความปลอดภัยและเหมาะกับสภาพฟันของแต่ละคน
คลินิกฟอกฟันขาว รามอินทรา 109 เดินทางสะดวก
คลินิกทันตกรรมมายเดนท์ตั้งอยู่ในย่าน รามอินทรา 109 มีนบุรี เดินทางสะดวก และมีที่จอดรถสำหรับผู้ใช้บริการ ผู้ที่กำลังมองหา คลินิกฟอกฟันขาวในย่านรามอินทรา หรือมีนบุรี สามารถเข้ามาปรึกษาทันตแพทย์เพื่อประเมินสภาพฟันก่อนเข้ารับบริการได้
ติดต่อคลินิกทันตกรรมมายเดนท์ รามอินทรา